Skip to main content
Carian
UTAMA
SEGMEN
TENTANG
PERSONALITI
FREKUENSI
PROMOSI & PERADUAN
ZAYAN PORTAL
ZAYAN BUZZ Perodua
BULETIN ZAYAN
BERITA SUKAN
INFO TRAFIK
Log in
Listen Live
Destinasi Nasyid Anda
Log in
Listen Live
Destinasi Nasyid Anda
Log in
Listen Live
Destinasi Nasyid Anda
Listen Live
Destinasi Nasyid Anda
Advertisement
Utama
Artikel ZAYAN
GorhamStout
GorhamStout
Berita
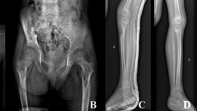
Doktor Terkejut Dan Tidak Tahu Punca Bagaimana Tulang Pesakitnya Hilang Secara Tiba-tiba
22 May 2019 03:23 AM
Berita
Doktor Kehairanan Tatkala Tulang Badan Hilang
14 Sep 2018 05:22 PM
ZAYAN
Destinasi Nasyid Anda